We are very proud of our smile transformations so we have included a few photos of our lovely patients which we hope may inspire you to take that first step towards your perfect smile.

Lora had a big gap between her teeth and at the end of treatment the gap is closed.
book online
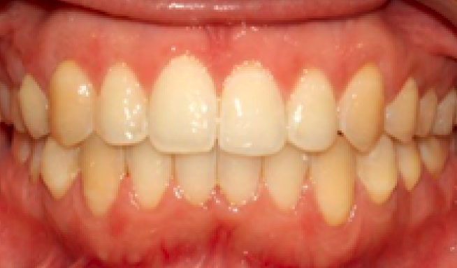
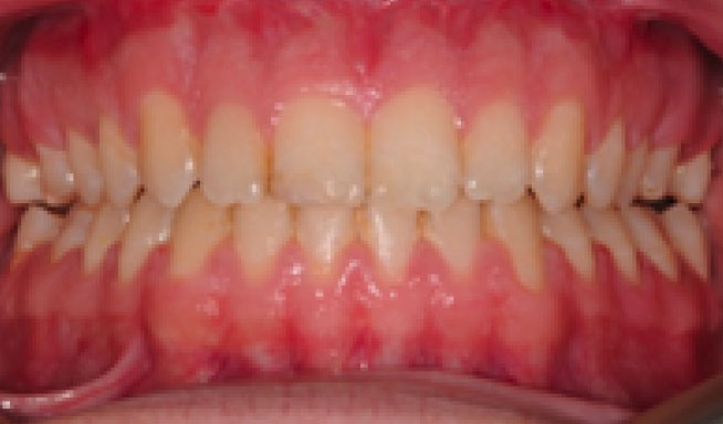
Lisa had a big overbite at the start and at the end of treatment the overbite is corrected.
book online
Zachary at the start of treatment had a big gap with missing front teeth and at the end of treatment with replacement teeth.

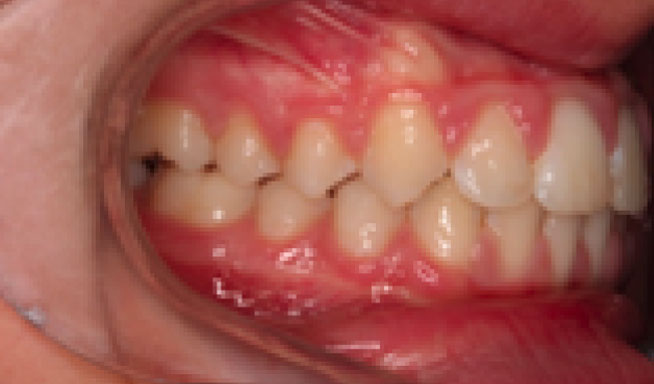
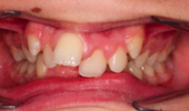
Jeremy had crocked teeth at the start and at the end he had a great result.

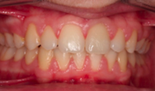
Jessica had spacing between her teeth and all Spaces were closed by the end.
book online